A 20-year-old female patient was admitted to our outpatient clinic with complaints of cough, sputum, and wheezing that had been going on for about 12 years. He had a history of asthma and chronic sinusitis for seven years. She had never smoked and had no history of pet feeding. She wasn't working any job. In the respiratory examination, inspiratory crackles and squawks were heard in the bilateral upper areas.
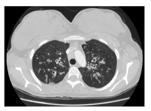
Chest X-ray showed increased streaking and train rail appearance in bilateral upper-middle zones (Picture 1). In the thorax computed tomography taken in an external center six months ago, there was centrally located bronchiectasis in the upper lobes of both lungs, accompanying peribronchial thickening and reticulonodular infiltrates (Picture 2).
Complete blood count and biochemical parameters were normal, total IgE was 830 IU/ml. In the pulmonary function test, FEV1/FVC was 71.75%, FVC 2.70 L 74.2%, FEV1 1.94 L 61%, and DLCO 72.6%. Skin prick test was positive for aspergillus.
Since childhood, the patient has regularly received many inhaler steroid and bronchodilator combinations in various device forms, leukotriene receptor antagonists, antitussive drugs, empirical antibiotic treatments, intranasal steroids, oral steroid treatments, but never completely regressed in his complaints. The patient with radiologically upper lobe dominant central bronchiectasis also had a history of not gaining weight and frequent diarrhea when infancy was questioned. In line with this information, genetic testing was requested from the patient with the suspicion of cystic fibrosis. As a result of the genetic test, heterozygous mutations were detected in two genes (p.Phe508del and p.Met1354Lys) for CF.

